A trench mouth is a bacterial infection that affects the gums and tissue around the teeth. It is most common in adolescents and young adults and can lead to gum inflammation and ulceration. left untreated, trench mouth can cause tooth loss. The bacteria that cause trench mouth are usually spread through close contact with an infected person. Treatment for trench mouth includes good oral hygiene, antibiotics, and pain relief.
Table of Contents
Causes
A trench mouth is a bacterial infection that affects the tissues in the mouth. The most common cause of trench mouth is poor oral hygiene. Other causes include smoking, stress, and a lack of vitamin C.
Trench mouth occurs when the bacteria that normally live in the mouth overgrow. This can happen when the immune system is weakened, allowing the bacteria to multiply unchecked. Poor oral hygiene is a common cause of trenching the mouth because it allows bacteria to build up on the teeth and gums. Smoking also increases the risk of developing a trench mouth, as it reduces saliva production and dries out the mucous membranes in the mouth. Stress can also lead to trenching the mouth by weakening the immune system. A lack of vitamin C can make it difficult for the body to fight off infection, and can therefore contribute to trench mouth.
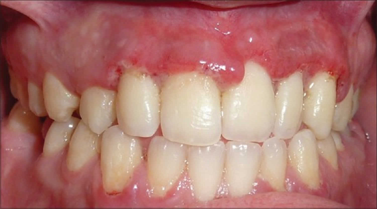
Symptoms
A trench mouth is a bacterial infection that affects the tissues in the mouth. The most common symptoms of trench mouth are soreness, redness, and swelling in the gums. There may also be bleeding from the gums, bad breath, and a foul taste in the mouth. The symptoms of trench mouth can vary from mild to severe. In some cases, the infection can lead to ulcers or abscesses in the mouth.
Diagnosis
Trench mouth is a bacterial infection that can affect the gums and mouth. There are several tests that can be used to diagnose trench mouth, including a physical examination, a culture of the bacteria, and a biopsy.
Treatment
Treatment for trench mouth typically involves a combination of good oral hygiene, antibiotics, and pain relief.
Good oral hygiene includes brushing your teeth at least twice a day, flossing daily, and using a mouthwash. Antibiotics can help to kill the bacteria that cause trench mouth and are usually taken for 7-10 days. Pain relief may be necessary if you have sore gums or other symptoms.
Trench mouth is a serious condition that should be treated by a dentist or doctor as soon as possible. If you think you may have a trench mouth, make an appointment to see your healthcare provider right away.

Prevention
Trench mouth is a serious gum infection that can cause pain, inflammation, and tooth loss. It is most common in adults aged 30-50 but can occur at any age. The best way to prevent trench mouth is to practice good oral hygiene. This means brushing your teeth twice a day, flossing daily, and using mouthwash. You should also see your dentist regularly for checkups and cleanings. If you have diabetes or smoke cigarettes, you are at an increased risk of developing a trench mouth.
Risk Factors
Trench mouth is a serious oral health condition that can lead to tooth loss and other complications. There are several risk factors associated with trench mouth, including poor oral hygiene, smoking, and a weakened immune system. Individuals who have any of these risk factors are more likely to develop trench mouths.
Good oral hygiene is the best way to prevent trench mouth. Brushing and flossing regularly help remove plaque and bacteria from the teeth and gums. Quitting smoking is also an effective way to reduce the risk of developing a trench mouth. smokers are more likely than nonsmokers to develop the condition. A healthy immune system helps fight off infection, so individuals who have a weakened immune system due to HIV/AIDS or cancer treatment are at greater risk of developing a trench mouth.
Complications
Trench mouth also called acute necrotizing ulcerative gingivitis (ANUG), is a painful condition that affects the mouth and gums. The most common symptom of a trench mouth is pain in the gums, which can make it difficult to eat or drink. Other symptoms include bleeding gums, bad breath, and ulcers on the gums.
A trench mouth is caused by a build-up of plaque on the teeth. This plaque contains bacteria that can attack the gums and cause inflammation. If left untreated, trench mouth can lead to serious complications such as gum disease and tooth loss. In rare cases, trench mouth can even lead to death if the infection spreads to other parts of the body.
Fortunately, trench mouth is treatable with good oral hygiene and prompt treatment from a dentist or doctor.
Conclusion
Although trench mouth is not as common as it was during World War I, it is still something to be aware of. This infection of the gums can be painful and cause problems with eating and talking. If you think you may have a trench mouth, see your dentist right away. Brushing and flossing regularly, as well as visiting the dentist for regular checkups, can help prevent this condition.
Published on August 26, 2022 and Last Updated on October 22, 2025 by: Mayank Pandey
Get real time update about this post category directly on your device, subscribe now.

