A sclerotic lesion is a medical condition that results in the hardening of body tissue. It can affect any type of tissue but is most commonly seen in the bones and joints. Sclerotic lesions are often the result of an underlying disease or condition, such as cancer or arthritis. In some cases, they may also be due to an injury or trauma. Sclerotic lesions can vary in size and severity and may cause pain, stiffness, and/or deformity. Treatment depends on the underlying cause but may include medication, surgery, or radiation therapy.
Table of Contents
Causes
Sclerotic lesions are areas of hardening and thickening in the tissue. They can be caused by a variety of things, including:
– inflammation
– infection
– trauma
– neoplasia (abnormal growth of cells)
In many cases, the exact cause of a sclerotic lesion is unknown. However, they are often seen in people who have chronic health conditions, such as autoimmune diseases or cancer.
Symptoms
A sclerotic lesion is a bony growth that develops on the surface of a bone. The main symptom of a sclerotic lesion is a painless lump or bump that can be felt under the skin. Other symptoms may include:
-Tenderness or soreness in the area
-Swelling or redness around the lump
-Stiffness in the joint near the lump
-Decreased range of motion in the affected joint
If you have any of these symptoms, see your doctor and get checked out.
Diagnosis
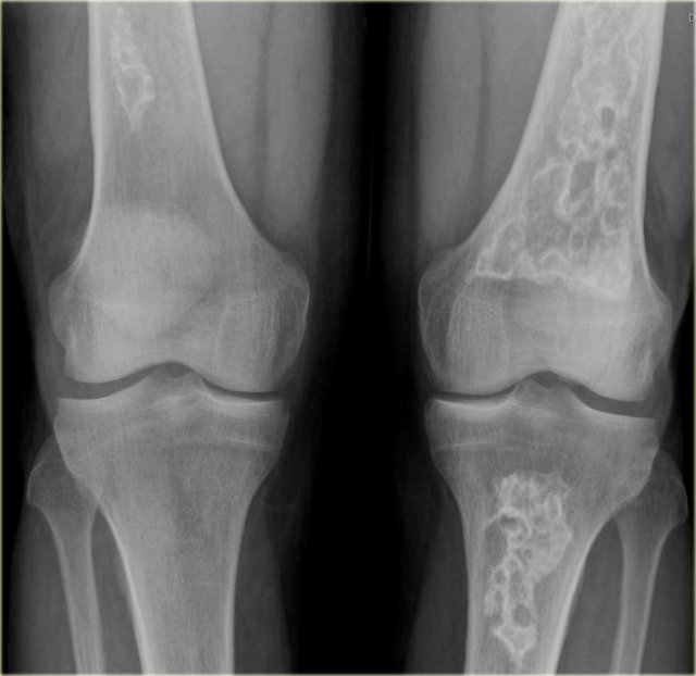
A sclerotic lesion is typically diagnosed using radiographic imaging. The most common type of radiographic imaging used to diagnose a sclerotic lesion is a plain film x-ray. However, other modalities such as computed tomography (CT) and magnetic resonance imaging (MRI) may also be used.
When a sclerotic lesion is seen on a plain film x-ray, it appears as a radiodense area. The borders of the lesion may be well-defined or ill-defined. The size of the lesion can vary from a few millimeters to several centimeters.
If the diagnosis is uncertain based on plain film x-ray, CT or MRI may be ordered. These modalities can provide more information about the size, shape, and exact location of the lesion.
Treatment
A sclerotic lesion is a bony growth that develops on the spine. These growths can be either benign or malignant. Benign sclerotic lesions are not cancerous and do not spread to other parts of the body. Malignant sclerotic lesions are cancerous and can spread to other parts of the body.
Treatment for a sclerotic lesion depends on whether it is benign or malignant. Benign lesions do not require treatment and will not cause any health problems. Malignant lesions require treatment because they can spread to other parts of the body and cause health problems. Treatment options for malignant sclerotic lesions include surgery, radiation therapy, and chemotherapy.

Prevention
There is no sure way to prevent sclerotic lesions from developing. However, there are some things that may help lower your risk:
–Exercise regularly. This helps to keep your bones strong and healthy.
-Eat a balanced diet that includes plenty of calcium and vitamin D. These nutrients are essential for bone health.
-Don’t smoke. Smoking increases your risk of developing sclerotic lesions and other bone problems.
-Talk to your doctor about taking supplements if you don’t think you’re getting enough calcium or vitamin D from your diet.
Risk Factors
There are several risk factors for developing sclerotic lesions, including age, genetics, and lifestyle choices.
Age is the most significant risk factor for sclerotic lesions. The condition is most common in older adults, particularly those over the age of 60.
Genetics also plays a role in the development of sclerotic lesions. If you have a family history of the condition, you are more likely to develop it yourself.
Certain lifestyle choices can also increase your risk of developing sclerotic lesions. Smoking cigarettes and drinking alcohol are both linked to an increased risk of the condition.
Complications
There are several complications that can arise from a sclerotic lesion. If the lesion is large and presses on vital organs, it can cause organ dysfunction. If the lesion is in the spine, it can compress the spinal cord and lead to paralysis. Lesions in other bones can cause pain and impair movement. In some cases, sclerotic lesions can lead to cancer.
When to see a doctor?
A sclerotic lesion is a hard, white area that develops on the bone. It is often caused by inflammation or injury. The lesion may be small and not cause any symptoms. However, if the lesion grows larger, it can cause pain and weakness in the affected area. If you experience these symptoms, you should see a doctor for an evaluation. An X-ray or MRI can help to confirm the diagnosis and determine the best course of treatment. Treatment options include surgery to remove the lesion, radiation therapy, or medication.
Conclusion
A sclerotic lesion is a hard, white area that forms on the bones. It is caused by the buildup of calcium deposits. Sclerotic lesions are most commonly found in the spine and hip. They can also occur in other bones, such as the ribs and shoulder blades.
Sclerotic lesions can cause pain and stiffness in the affected joints. They can also make it difficult to move around. In some cases, sclerotic lesions can lead to fractures. Treatment for sclerotic lesions typically involves medications that help to reduce the pain and inflammation. Surgery may also be necessary to remove the lesion or to repair a fracture.
Published on September 5, 2022 and Last Updated on October 22, 2025 by: Mayank Pandey
Get real time update about this post category directly on your device, subscribe now.

