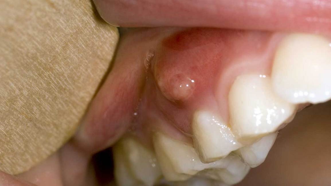
A gum boil, also known as a parulis, is a small, pus-filled bump that forms on the gums. The boil may be painful and can make it difficult to eat or drink. Gum boils are usually caused by an infection, such as bacteria or a virus. Treatment typically involves draining the pus and taking antibiotics. In some cases, surgery may be necessary to remove the gum boil.
Table of Contents
Causes
Gum boils, also known as parotitis, are a relatively uncommon condition that can occur when the saliva glands become blocked. The saliva glands are located in front of each ear and behind the jawbone. When these glands become blocked, bacteria can grow and cause an infection. Gum boils are typically painful and can make it difficult to open your mouth. In some cases, they may also cause fever or swollen lymph nodes.
There are several possible causes of gum boils, including:
-Dental decay or infection: If you have poor dental hygiene, this can lead to plaque buildup and eventually tooth decay or infection. This can then spread to the nearby saliva glands and cause gum boils.
– Salivary stones: These are small stones that can form in the saliva glands when calcium deposits accumulate.
Symptoms
Gum boils are a type of dental abscess. They are caused by a bacterial infection. The infection can be in the gums, the tooth, or the bone. Gum boils can be very painful. They can cause swelling in the gums, redness, and pus. The pus can drain out through the gum tissue. Gum boils can also cause fever and lymph node swelling.
Diagnosis
Gum boils are most commonly diagnosed through a physical examination. Your doctor will look for swellings on your gums and may also order X-rays to check for any underlying problems. In some cases, your doctor may also recommend a biopsy, which involves taking a small sample of tissue from the boil to be examined under a microscope.
Treatment
Gum boils can be treated at home by rinsing with salt water or a baking soda and water mixture. You can also apply a warm compress to the affected area for 10-15 minutes several times a day. If the boil is large or painful, you may need to see a dentist or oral surgeon for treatment. They can prescribe antibiotics or drain the boil.

Prevention
There are a few ways to prevent gum boils. One way is to practice good oral hygiene by brushing and flossing your teeth regularly. You should also avoid smoking and using tobacco products, as these can irritate the gums and cause gum boils. Another way to prevent gum boils is to eat a healthy diet and avoid sugary foods that can cause cavities. Finally, if you have any medical conditions that put you at risk for gum disease, be sure to see your dentist regularly for checkups and cleanings.
Risk Factors
Gum boils are most commonly caused by infection with the bacteria that live in the mouth. However, other factors can increase your risk of developing gum boils, including:
* Poor dental hygiene: If you don’t brush and floss regularly, bacteria can build up on your teeth and gums, increasing your risk of infection.
* Smoking: Smoking damages the tissues in your mouth, making it easier for bacteria to cause an infection.
* Dry mouth: Saliva helps protect your teeth and gums from infection. If you have a condition that causes dry mouth, you’re more likely to get gum boils.
* Crooked teeth: Crooked teeth can be difficult to clean properly, which increases your risk of developing gum disease and gum boils.
Complications
Gum boils are a common dental problem that can cause a lot of pain and discomfort. They are usually caused by an infection, and can often be very difficult to get rid of. If you have a gum boil, it is important to see your dentist as soon as possible so that they can treat the infection and help to prevent it from spreading. There are a few different complications that can occur with gum boils, and these include:
-Abscesses: These are pockets of pus that form around the gum boil, and can be very painful. They can also lead to further infections if not treated properly.
-Bone loss: If the infection spreads to the bone, it can cause damage and eventually lead to loss of bone tissue. This can make your teeth become loose and eventually fall out.
-Stroke or heart attack: If the infection spreads to your brain, you could be at risk of getting a stroke or a heart attack.
-Death In extreme cases, gum boils can become so severe that they cause death.
When to see a doctor?
When you have a gum boil, also called a parulis, it’s usually obvious. You may see a white or yellow pus-filled bump on your gums. It may be painful when you brush your teeth or eat. You might also have a fever.
Most gum boils go away on their own within two weeks without the need for treatment. But if it’s large and doesn’t heal, or if you have more than one boil, you should see your dentist or doctor.
Your dentist will likely prescribe antibiotics to clear the infection. If the boil is really big or doesn’t get better with antibiotics, your dentist may need to drain it.
Conclusion
Toothaches and gum pain can be caused by a number of things, but one possibility is an infection called a gum boil. Gum boils are infections that occur in the gums and can be very painful. They are usually caused by bacteria that enter the gums through a cut or other opening. Gum boils can also be caused by an injury to the gums, such as from dental work. Treatment for gum boils usually involves antibiotics to clear the infection. In some cases, surgery may be necessary to remove the boil.
Published on September 7, 2022 and Last Updated on October 22, 2025 by: Mayank Pandey
Get real time update about this post category directly on your device, subscribe now.

