The trachea, or windpipe, is the tube that carries air from the throat to the lungs. The trachea is normally straight. The tracheal deviation is a condition in which the trachea is displaced or rotated to the side. This can happen when there is an obstruction in the airway, such as a tumor. Treatment for tracheal deviation depends on the cause. In some cases, surgery may be necessary to remove the obstruction.
Table of Contents
Causes
There are many possible causes of tracheal deviation. Some causes are more serious than others. Tracheal deviation can be caused by a mass in the chest, such as a tumor. It can also be caused by an imbalance in the muscles and ligaments that support the trachea. This can happen due to an injury or surgery. In some cases, the tracheal deviation is present at birth.
Symptoms
There are a few symptoms that may indicate tracheal deviation. One symptom is having trouble breathing, which may be caused by an obstruction in the airway. Another symptom is pain in the neck or throat, which can be caused by inflammation in the trachea. Additionally, a person with tracheal deviation may cough up blood or have difficulty swallowing. If you experience any of these symptoms, it is important to see a doctor so that they can determine if you have tracheal deviation and treat it accordingly.
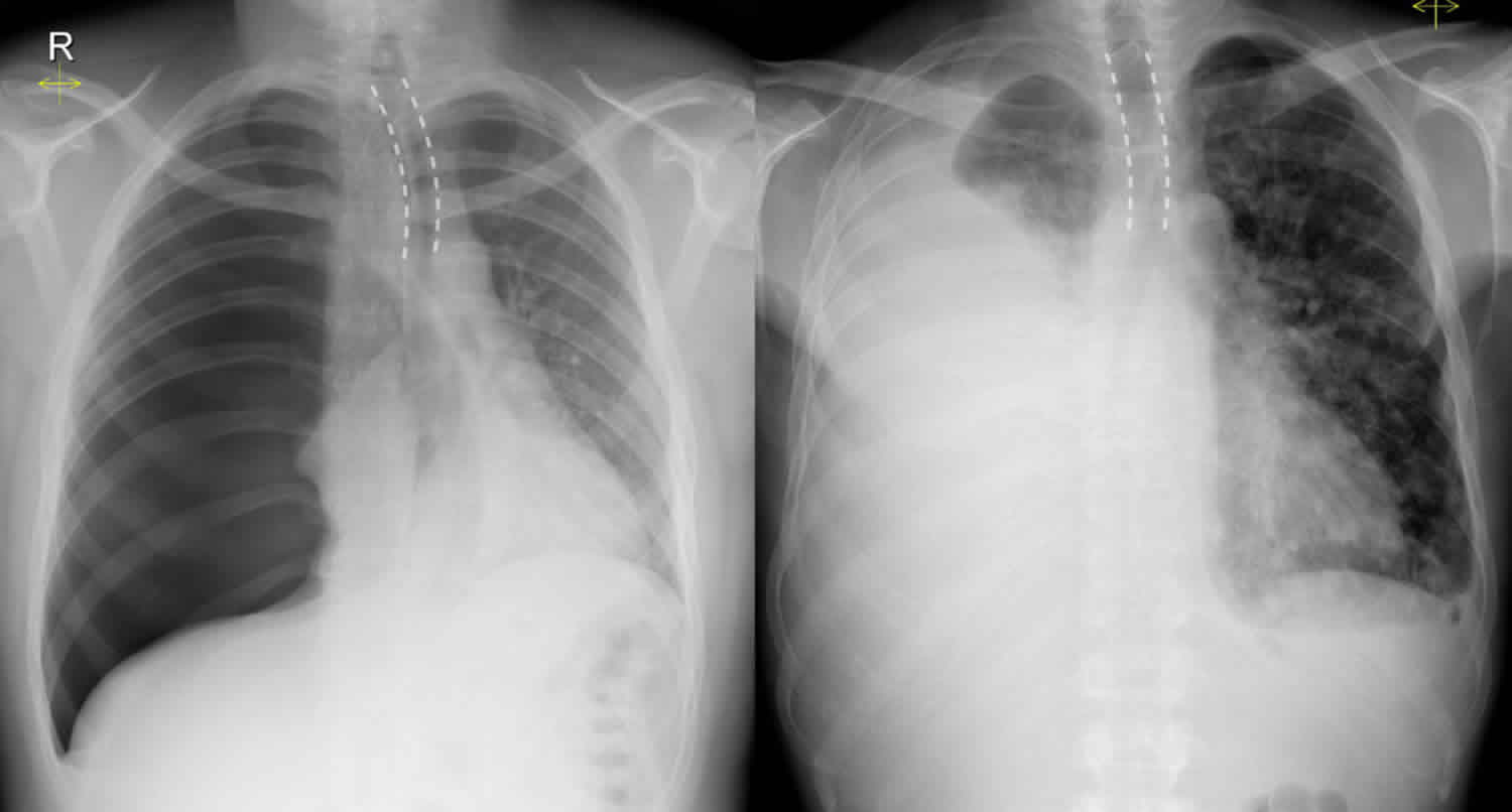
Diagnosis
There are several ways to diagnose tracheal deviation. The most common is through a physical examination by a doctor. Other ways include imaging tests such as a chest x-ray or computed tomography (CT) scan.
During a physical examination, the doctor will look for signs of asymmetry in the neck and chest. They may also feel for any abnormal bulges or lumps in the trachea. Imaging tests can help to confirm the diagnosis and show the severity of the condition.
The tracheal deviation is usually diagnosed based on the symptoms and signs present. However, further testing may be needed to rule out other potential causes of these symptoms, such as an infection or obstruction in the airway.

Treatment
There are many potential causes of tracheal deviation, so treatment will vary depending on the underlying cause. In some cases, tracheal deviation may resolve on its own with no treatment. However, if the underlying cause is a structural problem with the trachea, treatment may be necessary to prevent further complications.
Surgical options for treating tracheal deviation include tracheoplasty and stenting. Tracheoplasty is a surgery to correct defects in the trachea. This may be an option for people with congenital defects or those who have sustained damage to the trachea from an injury. Stenting is a less invasive option that involves placing a metal tube inside the trachea to keep it open. This may be an option for people with tumors or other growths that are causing the trachea to collapse.
Prevention
There are several things that can be done to prevent tracheal deviation. One is to avoid situations that may cause the trachea to become displaced, such as lying on your stomach or wearing a tight collar. Another is to maintain good posture and alignment of the spine and neck. If you have any medical conditions that could lead to tracheal deviation, such as a goiter or tumors, it is important to keep them under control with medication or surgery. In some cases, a metal stent may be placed in the trachea to keep it from collapsing.
Risk Factors
There are many potential risk factors for tracheal deviation, some of which are more well-known than others. One of the most common risk factors is smoking, as the inhalation of smoke can irritate and damage the trachea. Other potential risk factors include exposure to certain chemicals or pollutants, infection, trauma, and certain medical conditions such as lupus or rheumatoid arthritis. In some cases, the exact cause of the tracheal deviation is unknown.
If you have any of the aforementioned risk factors, it does not necessarily mean that you will develop tracheal deviation. However, it is important to be aware of the potential risks so that you can take steps to reduce your chance of developing this condition. If you smoke, quitting is the best way to reduce your risk.
Complications
There are several complications that can arise from tracheal deviation. One is that the airway can become blocked, making it difficult to breathe. This can be a problem for people with asthma or other respiratory conditions. Another complication is that the deviation can put pressure on the heart and lungs, which can lead to problems with blood flow and oxygen levels in the body. In severe cases, the tracheal deviation can be fatal.
Conclusion
There are a number of different causes of tracheal deviation, but the most common is a shift in the position of the heart. This can be due to a number of different factors, including an increase in the size of the heart, a change in the shape of the heart, or a buildup of fluid around the heart. In some cases, tracheal deviation may also be caused by a tumor or other growth that is pressing on the heart. Regardless of the cause, the tracheal deviation can often be corrected with surgery.
Published on August 17, 2022 and Last Updated on October 22, 2025 by: Mayank Pandey
Get real time update about this post category directly on your device, subscribe now.

