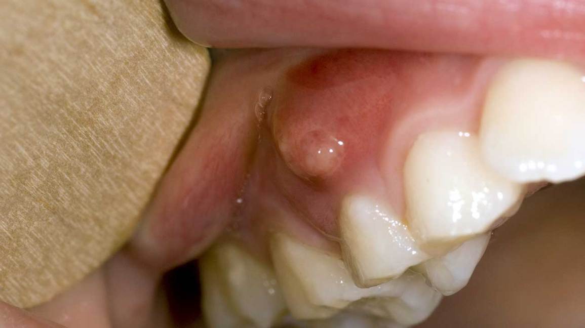
A pimple on gums is a small, raised area of gum tissue that is usually red or white in color. These bumps can occur anywhere on the gums but are most commonly found on the front or back of the mouth. Although they are generally harmless, pimples on the gums can be uncomfortable and may cause irritation.
Pimples on the gums are often caused by bacteria in the mouth. This can happen when food particles and plaque are not properly removed from the teeth and gums. Poor oral hygiene is the most common cause of pimples on the gums. Other factors contributing to their development include smoking, stress, hormones, and certain medications.
Pimples on the gums are usually not a serious health concern and do not require treatment.
Table of Contents
Causes
There are a few different reasons why someone might develop pimples on their gums. One possibility is that they have an infection in their gums that is causing pus to build up and form pimples. Another possibility is that they are suffering from a condition called periodontal disease, which is an inflammation of the gums. In some cases, the pimples may be caused by an allergic reaction to something in the person’s environment, such as toothpaste or mouthwash.
If you are concerned about pimples on your gums, it is best to consult with a dentist or other medical professional to find out the cause and get appropriate treatment.
Symptoms
A pimple on the gums can be a sign of an underlying dental or medical condition. Common symptoms include pain, swelling, and redness. If left untreated, a pimple on the gums can lead to serious complications such as infection and tooth loss. Treatment options vary depending on the cause of the pimple and may include antibiotics, surgery, or a combination of both.
Diagnosis
If you have a pimple on your gums, it is important to see a dentist or doctor get an accurate diagnosis. They will likely perform a visual examination and may also take a small sample of the pus for further testing. In some cases, an x-ray may be taken to rule out any other potential causes.
Once the diagnosis is made, the doctor will work with you to develop a treatment plan. This may include home care measures such as good oral hygiene and using warm salt water rinses. For more severe cases, medication or surgery may be necessary.

Treatment
There are a few different treatment options for pimples on gums. One option is to try to remove the pimple by gently squeezing it with clean hands. Another option is to apply a warm compress to the area for a few minutes at a time.
If the pimple does not go away on its own or if it becomes bothersome, you can see your dentist or doctor for further treatment. They may prescribe an antibiotic gel or ointment, which can help to reduce inflammation and kill bacteria. In some cases, they may also recommend a corticosteroid injection, which can help to reduce swelling.
Prevention
There are a few things you can do to prevent pimples on your gums. First, practice good oral hygiene by brushing and flossing regularly. This will help remove bacteria and plaque from your teeth and gums. You can also use an antibacterial mouthwash to help reduce the bacteria in your mouth. Another thing you can do is avoid eating sugary or acidic foods that can irritate your gums. If you do get a pimple on your gum, don’t pick at it or try to pop it. This can cause more irritation and even lead to infection. Instead, try using a warm compress to help reduce swelling. If the pimple doesn’t go away or if it gets worse, see your dentist or doctor for treatment.
Risk Factors
There are a few different risk factors for pimples on gums. One is genetics. If you have a family member who is prone to acne, you may be more likely to get pimples on your gums. Another risk factor is hormones. If you are going through puberty or another time of hormonal changes, you may be more likely to get pimples on your gums. Lastly, diet can also affect whether or not you get pimples on your gums. If you eat a lot of sugary or greasy foods, you may be more likely to get pimples on your gums.
Complications
There are a few different complications that can arise from pimples on gums. The first is an infection. If the pimple is filled with bacteria, it can cause an infection in the gums which can be quite painful. Another complication is inflammation. This can happen if the pimple is constantly irritated by things like eating or brushing your teeth. The inflammation can cause the gums to swell and become very sensitive. Lastly, pimples on gums can also lead to scarring. This usually happens if the pimple is popped and not healed properly. If you have a pimple on your gum, it’s important to see a dentist or oral health care professional so they can determine the best course of treatment.
Conclusion
If you have a pimple on your gums, it’s likely a harmless mucous cyst. However, if the pimple is painful or doesn’t go away after a week or two, you should see your dentist rule out other causes. In most cases, pimples on the gums are nothing to worry about and will clear up on their own.
Published on August 21, 2022 and Last Updated on October 22, 2025 by: Mayank Pandey
Get real time update about this post category directly on your device, subscribe now.

