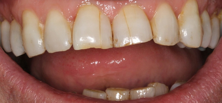
Craze lines, also known as fracture lines, are fine cracks that appear on the surface of your teeth. They’re caused by the everyday wear and tear of chewing, grinding, and biting. Over time, these tiny cracks can become deeper and more pronounced.
While craze lines are usually harmless, they can sometimes be a sign of a more serious problem. If you have craze lines and are experiencing pain or sensitivity, it’s important to see your dentist to rule out any underlying issues.
Table of Contents
Causes
Craze lines are fine cracks that appear on the surface of teeth. They’re usually caused by chewing or biting hard objects, and they can also be caused by tooth grinding.
There are a few different things that can cause teeth craze lines. One of the most common causes is chewing or biting on hard objects. This can put a lot of pressure on your teeth, which can cause the enamel to crack. Another cause of craze lines is tooth grinding. This can happen if you grind your teeth at night or during the day. If you grind your teeth too much, it can wear down the enamel and cause cracks to form.
Symptoms
Craze lines are very small cracks in the enamel of teeth. They are usually caused by chewing on hard objects or grinding the teeth. The cracks can be either horizontal or vertical and are typically found on the front teeth. Symptoms of craze lines include:
-Sensitivity to hot and cold temperatures
-Pain when chewing or biting
-Visible cracks in the enamel
If you notice any of these symptoms, it’s important to see your dentist as soon as possible. Craze lines can sometimes lead to more serious problems, such as tooth decay or broken teeth.
Diagnosis
There are a few tests that can be done in order to diagnose craze lines. One such test is the indentation test, which can be performed by taking a sharp object and pressing it into the surface of the tooth. If the tooth easily indents, then it likely has craze lines. Another test that can be done is called the dye penetration test, which involves using a special dye that will seep into any cracks or crazes in the tooth. If the dye penetrates into the tooth, then it is likely that craze lines are present.
Treatment
There are a few different ways that doctors can treat patients with craze lines. One way is to use a special type of toothpaste that contains fluoride. This can help to make the teeth stronger and less likely to develop craze lines. Another treatment option is to use a mouthguard at night. This can help to protect the teeth from grinding or clenching during sleep, which can worsen craze lines. Finally, patients may need to have their teeth professionally cleaned by a dentist or dental hygienist in order to remove any build-up of plaque or tartar that could contribute to the development of craze lines.

Prevention
Craze lines, also known as stress lines, are tiny cracks that can form on the surface of your teeth. While they’re not harmful to your health, they can be unsightly.
There are a few things you can do to prevent craze lines from forming:
Brush your teeth twice a day with toothpaste that contains fluoride. Fluoride helps to strengthen tooth enamel and prevent decay.
Floss daily to remove plaque and bacteria from between your teeth and along the gum line. Plaque and bacteria can contribute to the development of craze lines.
Limit your consumption of acidic foods and drinks. Acidic substances can weaken tooth enamel and make it more susceptible to damage.
See your dentist regularly for checkups and cleanings.
Risk Factors
There are many risk factors for developing craze lines on teeth. These include genetics, poor oral hygiene, smoking, and drinking coffee or carbonated beverages. Other risk factors include acidic foods and drinks, clenching or grinding teeth, and bruxism.
Craze lines are more common in certain populations. They are more prevalent in people of Asian descent and in those who have a family history of the condition. People over the age of 50 are also at a higher risk for developing craze lines.
While there is no way to completely prevent craze lines from forming, there are some things that can be done to reduce the risk. These include quitting smoking, practicing good oral hygiene, and avoiding acidic foods and drinks. Wearing a mouthguard at night can also help to protect teeth from clenching and grinding.
Complications
Craze lines, also known as stress lines, are cracks that form on the surface of porcelain teeth. They’re usually caused by biting or chewing on hard objects, such as ice. While craze lines aren’t a sign of a serious dental problem, they can be an indication that you’re putting too much stress on your teeth.
There are a few potential complications of craze lines. If the craze lines are deep enough, they can cause the tooth to fracture. This is more likely to happen if the person has had previous dental work, such as a filling. Craze lines can also lead to tooth sensitivity and pain. In some cases, the craze lines may be a sign of more serious underlying dental problems.
If you have craze lines, you may want to avoid chewing on hard objects and see your dentist for a checkup.
Conclusion
If you have craze lines and don’t have any other symptoms, there’s no need to treat them. However, if you’re concerned about their appearance, your dentist may be able to help. There are a few cosmetic options that can help reduce the appearance of craze lines, such as tooth bonding or veneers.
Published on September 3, 2022 and Last Updated on October 22, 2025 by: Mayank Pandey
Get real time update about this post category directly on your device, subscribe now.

