A cracked tooth is a common dental emergency. A cracked cavity filling, however, is not as common. When a tooth is cracked, the dentist will usually put a temporary filling in to protect the tooth while he or she determines the best treatment. If the crack extends into the tooth’s pulp, the dentist may need to perform a root canal. If the crack does not extend into the pulp, the dentist may need to put a new filling in.
Table of Contents
Causes
Cracked fillings are a common problem that can occur for a number of reasons. One of the most common causes is tooth decay, which can weaken the filling and make it more susceptible to cracking. Another common cause is thermal shock, which can happen when you eat or drink something very hot or cold. Other possible causes include trauma to the mouth, such as a fall or sports injury, and exposure to extreme temperatures, such as in a hot or cold climate. If you are experiencing pain or other symptoms related to cracked fillings, see your dentist right away for diagnosis and treatment.
Signs and Symptoms
When a tooth is cracked, it can be very painful. In some cases, the crack may only be a small one and may not cause any pain at all. However, if the crack extends into the tooth’s pulp, it can be very painful and may require a root canal. There are several signs and symptoms of a cracked cavity filling that you should be aware of.
If you have a toothache, it might be time to go to the dentist. A cracked cavity filling is one of the many reasons you might experience tooth pain. Other symptoms include sensitivity to hot or cold food or drink, a bad taste in your mouth, and a general feeling of being unwell. See your dentist as soon as possible if you are experiencing any of these symptoms, as a cracked cavity filling can lead to further oral health problems if left untreated.
Diagnosis
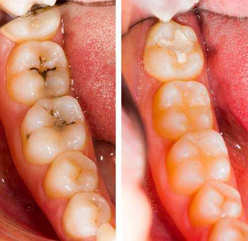
When a person has a cavity, they often have it filled in order to prevent the decay from spreading. However, if that filling is not properly sealed, it can lead to a cracked cavity. This is a condition where the tooth material around the filling is eroded, which can cause significant pain and sensitivity. If left untreated, a cracked cavity can lead to further tooth decay and even loss of the tooth. Diagnosis of a cracked cavity is made through a visual examination and X-rays. Treatment typically involves re-filling the cavity and using a sealant to prevent future cracking.

Treatment
A cracked cavity filling can be a real pain, both literally and figuratively. Luckily, there are several treatment options available, depending on the severity of the crack. If the crack is small and doesn’t affect the tooth’s function, it may not require any treatment at all. However, if the crack extends into the tooth’s dentin or pulp, it will need to be fixed as soon as possible to prevent further damage. There are several ways to fix a cracked cavity filling, including dental bonding, dental resin infiltration, and dental crowns. Which one is best depends on the size and location of the crack, as well as your budget and time constraints?
Prevention
There are many ways to prevent cracked cavity fillings. The most important way is to keep your teeth healthy and strong. Brushing and flossing regularly will help keep your teeth healthy and cavity-free. You should also see a dentist for regular check-ups. If you do have a cavity, it’s important to get it filled as soon as possible. A cracked cavity filling can lead to further damage to your teeth and even loss of the tooth.
Conclusion
Cracked cavities can be filled with a variety of materials, but the most common is dental amalgam. Amalgam is a mixture of mercury, silver, tin, and copper. It has been used for more than 150 years and is still the most popular choice for dentists. The information provided in this article is for educational purposes only. It is not intended to diagnose, treat, or cure any disease or condition. Please consult your physician with any questions you may have regarding a medical condition.
Published on July 25, 2022 and Last Updated on October 22, 2025 by: Mayank Pandey
Get real time update about this post category directly on your device, subscribe now.

