Chiari malformation (CM) is a neurological disorder that affects the brain and spine. It occurs when part of the cerebellum, known as the cerebellar tonsils, herniates into the spinal canal. This can put pressure on both the brain and spinal cord, leading to a variety of symptoms that range in severity. Symptoms can include headaches, neck pain, dizziness, balance problems, difficulty swallowing or speaking, and numbness or tingling in the extremities. In some cases, it can even lead to hydrocephalus (fluid buildup in the brain). Treatment for CM depends on its severity but may include medications, surgery, or physical therapy to help manage symptoms. A more extreme form of CM known as syringomyelia may require more extensive treatment such as shunt placement to relieve pressure in the brain and spine. Ultimately though, treatments aim to reduce symptoms and maintain the quality of life for those affected by this condition.
Table of Contents
Types
Chiari malformation is a neurological disorder caused by a structural defect in the cerebellum, the part of the brain that controls balance. There are four types of Chiari malformations: Type I, II, III, and IV.
Type I Chiari Malformation is the most common type, where the cerebellar tonsils extend through an abnormally small opening at the base of the skull into the spinal canal. This can cause headaches, vision loss, and difficulty with balance. It typically does not require surgery unless symptoms are severe or progressive.
Type II Chiari Malformation occurs when there is a combination of an underdeveloped brainstem and lower parts of the cerebellum that have descended through an abnormal opening in the back of the skull into the cervical spine area. It usually requires surgical intervention to reduce pressure on nerves and to help restore normal brain function.
Type III Chiari Malformation is rare and extremely serious because it involves displacement of both sides of both lobes of cerebellar tissue downwards towards the spinal cord creating obstruction at the foramen magnum (skull base). Surgery may be required if symptoms become severe enough to warrant it.
Type IV Chiari Malformation is rarer than other types and is often associated with developmental abnormalities such as spina bifida or hydrocephalus (accumulation of fluid inside the skull). Treatment depends on severity but can involve medications, physical therapy, or even surgery depending on the individual cases.
Causes
Chiari malformation is a structural defect in the brain that affects the cerebellum, which is responsible for balance and coordination. The condition occurs when the lower part of the brain, known as the cerebellar tonsils, extends into the spinal canal instead of sitting on top of it. This can lead to a blockage of spinal fluid flow, causing symptoms such as headaches, neck pain, dizziness, and difficulty with fine motor skills.
The exact cause of Chiari malformation is unknown but it’s thought to be congenital (present at birth) and can be linked to genetic factors. It’s also been associated with conditions such as spina bifida and hydrocephalus. Additionally, some researchers believe that environmental factors such as exposure to toxins or viral infections during fetal development may play a role in its development.
While there is no cure for Chiari malformation, treatment options include medication to manage symptoms and surgery to relieve pressure on the brain and spinal cord caused by the abnormality. Early diagnosis and treatment can improve outcomes for those affected by this condition.
Symptoms
Symptoms of Chiari malformation vary from person to person. In some cases, symptoms can range from mild to severe. Common signs and symptoms include headaches, neck pain, balance problems, dizziness, numbness or tingling in the hands and feet, ringing in the ears (tinnitus), difficulty swallowing, speech problems, and sleep apnea. Other symptoms may include vision issues such as double vision or blurred vision; hearing loss; muscle weakness or spasms in the arms and legs; hydrocephalus (excess fluid on the brain); scoliosis (curvature of the spine); fatigue; changes in bladder or bowel control; trouble maintaining balance while walking; vertigo (dizziness caused by a spinning sensation); vomiting; facial paralysis or weakness; and poor coordination. Chiari malformation can also cause breathing difficulties due to pressure on the respiratory center of the brainstem.

Diagnosis
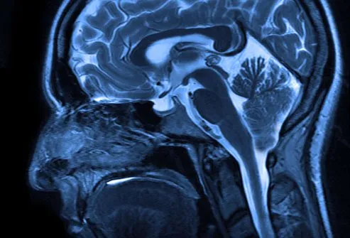
A diagnosis of Chiari malformation can be a scary and confusing time for patients. This condition occurs when the cerebellum, located at the base of the brain, extends into the spinal canal. This puts pressure on both the brainstem and spinal cord, leading to a range of symptoms such as headaches, neck pain, numbness in extremities, dizziness, or balance issues.
Diagnosis often begins with a physical exam to assess symptoms and medical history. Imaging tests such as MRI or CT scans may also be ordered to examine the brain and spine for abnormalities. A neurologist or neurosurgeon will then review these results to confirm whether Chiari malformation is present.
While receiving a diagnosis can be overwhelming, it is important for patients to understand that there are treatment options available. Depending on the severity and symptom progression, treatments may include surgery to relieve pressure on the brainstem or medications to manage pain or other related conditions. Patients should work closely with their healthcare team to determine an appropriate course of action that fits their needs and goals.
Treatment
The treatment options for Chiari Malformation depend on the severity of symptoms and the degree of brain tissue displacement. Some people with mild cases may not require treatment, while others may need surgery. The surgical procedure involves removing a small portion of the skull to allow more space for the brain and spinal cord.
There are also non-surgical treatments like pain management medication, physical therapy, and braces that can help manage symptoms such as headaches, neck pain, and difficulty swallowing in some cases. These treatments can be effective in mild or moderate cases but are generally insufficient for severe cases.
It is important to consult a neurosurgeon or other specialist to determine which treatment option best suits each case. Early diagnosis and intervention are crucial in managing Chiari Malformation effectively and improving quality of life.
Prevention
Chiari malformation is a condition that affects the brain and spinal cord. It occurs when a part of the brainstem, called the cerebellar tonsils, extends into the spinal canal. This can cause symptoms such as headaches, neck pain, dizziness, and difficulty swallowing. While there is no known prevention for Chiari malformation, there are steps you can take to reduce your risk of developing it.
One way to prevent Chiari malformation is to avoid activities that put excessive strain on your neck and spine. This includes heavy lifting, carrying objects on your head or shoulders for extended periods of time, and participating in contact sports that involve high-impact collisions.
Another way to reduce your risk is by maintaining good posture. Poor posture can put extra pressure on your spine and lead to misalignment of the vertebrae. To promote good posture, make sure you sit up straight with your shoulders back and avoid slouching or hunching over.
Overall, while there’s no foolproof way to prevent Chiari malformation from occurring altogether; however a healthy lifestyle with proper exercise habits along with regular check-ups with doctors could help in managing its effects better.
When to see a doctor?
If you’re experiencing symptoms of Chiari Malformation, it is essential to seek medical attention. The severity of the condition varies from person to person, and some individuals may not experience any symptoms at all. However, if symptoms do arise, they can be debilitating and significantly impact your quality of life. Symptoms may include headaches, neck pain, balance problems, numbness or tingling in the hands or feet, difficulty swallowing or speaking, and even respiratory issues.
It’s crucial to see a doctor who specializes in Chiari Malformation for proper diagnosis and treatment options. Treatment options vary depending on the severity of the condition but may include medication for symptom management or surgery to alleviate pressure on the brainstem. Your doctor will evaluate your specific symptoms and determine the best course of action for you.
Overall, if you suspect that you have Chiari Malformation or are experiencing any related symptoms mentioned above, it’s critical to schedule an appointment with a healthcare provider as soon as possible. Early diagnosis and treatment can help manage symptoms effectively and improve your overall quality of life in the long run.
Conclusion
Living with Chiari can be challenging, as it is a complex and chronic condition that affects the brain and spinal cord. Patients may experience symptoms such as headaches, neck pain, blurred vision, dizziness, and difficulty balancing. In severe cases, Chiari can also lead to paralysis or even death.
However, there are ways to manage the symptoms of Chiari and improve the quality of life. Treatment options include medication for pain management, physical therapy to strengthen muscles and improve balance, and in some cases surgery to decompress the brainstem. It is important for patients to work closely with their healthcare team to find the best course of treatment for their individual needs.
While living with Chiari can be challenging at times, it is important for patients to remain hopeful and optimistic about their future. With proper treatment and self-care practices such as adequate rest and stress management techniques like mindfulness or yoga; individuals living with this condition can maintain a good quality of life despite its challenges. By working together with healthcare professionals they can continue managing their symptoms effectively which will help them enjoy everyday activities more comfortably.
Published on March 9, 2023 and Last Updated on October 22, 2025 by: Mayank Pandey
Get real time update about this post category directly on your device, subscribe now.

