A bone spurs also known as osteophytes is a bony outgrowth that forms on the edges of bones. Bone spurs can form on any bone, but they are most commonly found on the spine, shoulders, hips, and knees.
Bone spurs are not dangerous and do not cause pain unless they press on a nerve or rub against another bone. However, they can be a sign of underlying problems, such as arthritis or osteoporosis. Treatment for bone spurs depends on the location and severity of the spur.
If you have a bone spur, you may not need treatment. However, if the spur is causing pain or affecting your mobility, your doctor may recommend surgery to remove it.
Table of Contents
Causes
Bone spurs are most often caused by arthritis. When the cartilage that cushions the ends of bones breaks down, bone spurs can form. Bone spurs can also be caused by repetitive stress injuries, such as those that occur from playing tennis or basketball. Spurs can also form in response to an injury or infection.
Risk Factors
Bone spurs, or osteophytes, are bony outgrowths that form along the edges of bones. They can occur anywhere in the body but are most common in the joints, spine, and feet. Bone spurs are usually harmless and do not cause symptoms. However, they can sometimes become painful if they press on nerves or other tissues.
There are several risk factors for bone spurs, including obesity, diet, genes, and bone problems from birth. People who are overweight or obese are more likely to develop bone spurs because of the extra pressure on their joints. A diet high in sugar and refined carbohydrates can also lead to bone spurs, as these foods promote inflammation in the body. Genes play a role in bone spur development, as some people are simply more prone to them than others.
Symptoms
If you have bone spurs, you may not have any symptoms at all. However, if the bone spur rubs against another bone or a tendon, it can cause pain, inflammation, and swelling. Bone spurs can also cause numbness or tingling if they press on a nerve.
If you have pain from bone spurs, it is usually described as a dull ache. The pain may be constant or intermittent and is typically worse when you are active. You may also experience stiffness or tenderness in the affected area.
Bone spurs are more likely to cause symptoms if they are in a weight-bearing joint such as your hip or knee. They can also cause problems if they grow large enough to press on nerves or blood vessels. If you have any of these symptoms, you should see your doctor for an evaluation.
Diagnosis
A bone spur is a bony outgrowth that can occur on any bone in the body. They are most commonly found on the spine, shoulders, hands, and feet. Bone spurs can be caused by arthritis, wear, and tear, or injury.
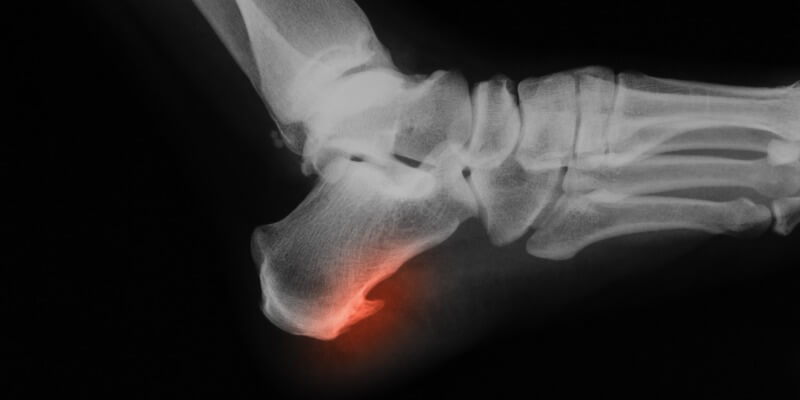
There are several tests that can be used to diagnose bone spurs. An X-ray is often the first test ordered because it can show whether there are any bony outgrowths. A CT scan or MRI may also be ordered to get a more detailed view of the bone spur. A biopsy may also be done to rule out other conditions.

Treatment
A bone spur is a bony outgrowth that can form on any bone in the body. They are most commonly found in joints, where they can cause pain and a limited range of motion. While some bone spurs do not require treatment, others may need to be treated with medication or surgery.
Most bone spurs do not cause any symptoms and do not need to be treated. However, if a bone spur is causing pain, inflammation, or limited range of motion, treatment may be necessary. Treatment options include medication and surgery.
Medication is often the first line of treatment for bone spurs. Pain relievers, such as ibuprofen or acetaminophen, can help to relieve pain caused by a bone spur. If pain relief is not sufficient, corticosteroid injections may be recommended. These injections can reduce pain and inflammation in the short term. The most effective form of treatment for bone spurs is surgery. Surgery is usually recommended when conservative treatments are not effective or when the patient has persistent symptoms despite medication and/or injections.
Prevention
Bone spurs, also known as osteophytes, are bony outgrowths that form along the edges of bones. They can occur anywhere in the body but are most common in the joints. Bone spurs are usually harmless and do not cause symptoms. However, they can sometimes press on nerves or other tissues, causing pain or other problems.
There are several things you can do to prevent bone spurs from forming or to keep them from getting worse:
-Maintain a healthy weight: Excess weight puts extra strain on your bones and joints, which can lead to the development of bone spurs.
–Exercise regularly: Exercise helps keep your bones and joints strong and healthy. It also helps reduce stress on your body, which can contribute to the development of bone spurs.
-Eat a healthy diet: Eat a diet that contains calcium and vitamin D as they help to strengthen and protect the bone.
When to see a doctor?
If you have bone spurs, you may not need to see a doctor. However, if the bone spurs are causing pain or limiting your range of motion, you may want to consider making an appointment. There are a few other things to keep in mind when deciding whether or not to see a doctor for your bone spurs.
First, consider the location of your bone spurs. If they are in your spine, they may be pressing on nerves and causing pain. If the bone spurs are in your hips, they may be causing pain when you walk or limiting your range of motion.
Second, think about how long you have had the bone spurs. If you have had them for a long time and they are not causing any problems, you may not need to see a doctor.
Conclusion
A bone spur is a bony outgrowth that can occur on any bone in the body. They are most commonly found on the bones of the spine, shoulders, hips, and hands. Bone spurs can be caused by a number of things, including osteoarthritis, trauma, and repetitive motion.
Bone spurs can be painful, but they are not always. Many people with bone spurs do not experience any pain or other symptoms. In some cases, however, bone spurs can cause pain, stiffness, and loss of range of motion. Treatment for bone spurs depends on the location and severity of the spur. In many cases, no treatment is necessary. If pain or other symptoms are present, however, treatment options include physical therapy, medications, and surgery.
Published on November 7, 2022 and Last Updated on October 22, 2025 by: Mayank Pandey
Get real time update about this post category directly on your device, subscribe now.

