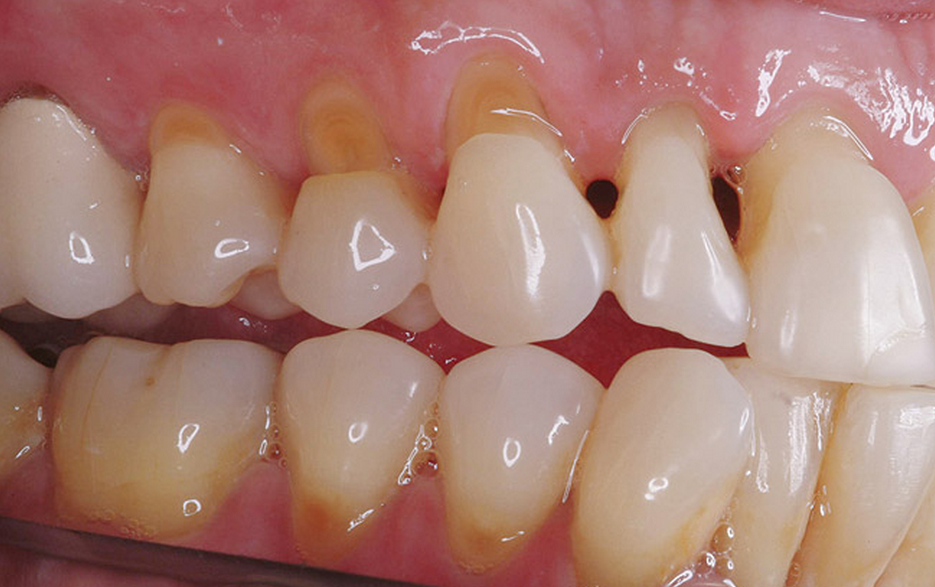
An abfraction is a loss of tooth structure not attributed to dental caries. Abfractions typically occur at the cervical margin of the tooth and are believed to be caused by occlusal forces. These forces can cause microscopic cracks in the enamel which eventually lead to the loss of tooth structure. Treatment for abfractions is typically conservative and involves smoothing or re-contouring the tooth surface to reduce occlusal forces.
Table of Contents
Causes
There are many potential causes of abfraction, but the underlying cause is always stress on the tooth. This stress can come from a number of different sources, including:
-Bruxism (teeth grinding)
-Clenching or grinding the teeth during the daytime
-Prolonged exposure to acidic or sugary foods and drinks
-Dental trauma (from an accident or injury)
-Misaligned teeth
All of these factors put extra pressure on certain areas of the teeth, which can lead to abfraction over time. In some cases, abfraction may also be caused by gum disease, which can cause the gums to recede and expose more of the tooth root.
Symptoms
There are a few symptoms associated with abfraction, though the most common is tooth sensitivity. This can occur when the enamel is worn down and the dentin is exposed. The dentin contains tiny tubes that lead to the nerve endings in the pulp of the tooth. When these are exposed, it can cause pain or discomfort when eating or drinking hot, cold, sweet, or acidic foods and drinks.

Diagnosis
There are a few different ways that your dentist can diagnose abfraction. One way is by doing a visual examination of your teeth. Your dentist will look for any signs of wear or damage on the surfaces of your teeth. They will also ask you about any pain or sensitivity you may be experiencing. Another way to diagnose abfraction is by taking X-rays of your teeth. This will help your dentist to see any areas of damage that may not be visible during a visual examination. Once abfraction has been diagnosed, your dentist will work with you to create a treatment plan.
Treatment
There are a few different treatment options available for abfraction. One option is to simply remove the damaged tissue with a scalpel or laser. This can be done in a single visit to the dentist and is usually not very painful. Another option is to use bonding materials to build up the area of the tooth that has been lost. This can help to prevent further damage and restore the tooth to its original shape. Finally, crowns can also be used to cover the damaged tooth and protect it from further wear and tear.
Prevention
There are many ways to prevent abfraction from occurring. One way is to make sure that you brush your teeth properly and regularly. This means using a soft-bristled toothbrush and brushing in a circular motion. You should also avoid hard foods and drinks, as well as chewing on hard objects. Another way to prevent abfraction is to see your dentist regularly for checkups and cleanings. This way, any early signs of abfraction can be detected and treated before they become a more serious problem.
Risk Factors
There are several risk factors that can contribute to abfraction. These include:
1. teeth grinding (bruxism)
2. clenching or grinding your teeth during the day
3. chewing gum excessively
4. use your teeth as tools (for example, to open bottles or tear off tags)
5. acidic foods and drinks
6. missing or improperly fitting dental restorations
7. ills such as rheumatoid arthritis and high blood pressure
8. ills that affect the jawbone such as orthognathic surgery
9. ills that affect the muscles, soft tissues, or bones of the head and face
10. medications
11. smoking
12. genetics
Complications
Abfraction is a type of tooth wear that results in small notches or fractures on the chewing surfaces of teeth. The main cause of abfraction is repetitive stress on the teeth from habits like clenching or grinding. Over time, this stress can weaken the tooth enamel and lead to the formation of notches and fractures.
While abfraction is usually painless, it can eventually lead to tooth sensitivity and gum recession. In severe cases, abfraction can even cause the tooth to become loose and eventually fall out. If you think you may be suffering from abfraction, it’s important to see your dentist so they can diagnose the problem and recommend treatment.
Conclusion
There is still much debate surrounding the topic of abfraction. Some researchers believe that it is a real phenomenon while others believe that it is simply an illusion created by the way our teeth move. However, there is one thing that everyone seems to agree on and that is the fact that abfraction can lead to tooth loss. This means that if you are experiencing any type of tooth pain or sensitivity, it is important to see a dentist right away.
Published on August 23, 2022 and Last Updated on October 22, 2025 by: Mayank Pandey
Get real time update about this post category directly on your device, subscribe now.

